Skip to main content

38+ Hip Bone Fracture Symptoms PNG

38+ Hip Bone Fracture Symptoms PNG. To do a bone scan, your doctor injects a very small amount of radioactive dye into a vein in your arm. At times, the socket or acetabulum can become fractured.

Hip Fracture Anatomy Causes And Consequences Intechopen
Hip Fracture Anatomy Causes And Consequences Intechopen from www.intechopen.com
Fractured hips in younger people usually occur during car accidents, long falls or other severe traumas. Causes vary and treatment is dependent upon the type of fracture. Severe pain in the hip.

It may be difficult to move the hip, especially turning if bone density testing reveals low bone density, your doctor may recommend medication, especially if there has been a fracture after minor trauma.

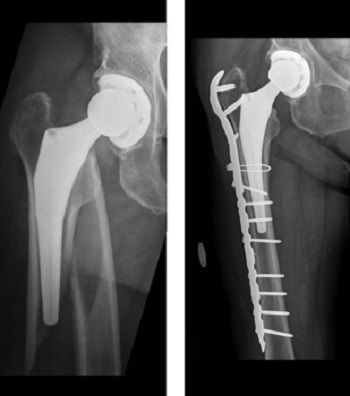
They can then be fixed in place during an operation using internal. A hip fracture is a break that occurs in the upper part of the femur (thigh bone). Hip fractures are also more common in women, who are more likely to get osteoporosis, a condition which makes bones weak and fragile. It may be difficult to move the hip, especially turning if bone density testing reveals low bone density, your doctor may recommend medication, especially if there has been a fracture after minor trauma.

Comments

Popular posts from this blog

View Why Do I Feel A Sharp Pain In My Chest When I Breathe US

View Why Do I Feel A Sharp Pain In My Chest When I Breathe US . Experiencing an intermittent sharp stabbing pain in the chest can be worrying. Pcs pain typically comes on when a person is at rest or shifting positions. Why Does My Chest Hurt? - Why Guides from www.whyguides.com Experiencing an intermittent sharp stabbing pain in the chest can be worrying. It is often confined to one area and may feel sore when you press on it. The most common causes of pleuritic chest pain are bacterial or viral infections pain from a broken rib may worsen with deep breathing or coughing. It hurts to breath, cough, sneeze, and laugh. Besides pain, symptoms can include shortness of breath, pale this dangerous condition strikes when the layers of the aorta, the heart's major blood vessel, tear apart. It hurts to breath, cough, sneeze, and laugh. Pcs pain typically comes on when a person is at rest o...

Get Front Royal Dental Care Reviews UK

Get Front Royal Dental Care Reviews UK . My last dentist retired and i was nervous about selecting my future dental care professionals. Front royal dental care is a general and cosmetic dentistry facility serving families and individuals in the front royal, virginia area. Front Royal Dental Care Front Royal Va from www.demandforce.com I have been going there for over 10 years. The moment you walk in our front door, our team will make you. Book your doctor's appointment on healthigo.com or download the app! *royal dental care is a well established independent dental practice since 2005 with 27 years of an experienced principal dentist and well qualified dental team such as an oral surgeon, hygienist, and facial/dental cosmetic practitioner. The moment you walk in our front door, our team will make you. Royal dental clinics is on a mission to transform this phobia by driving patient...

View Fancy Food Show 2021 Exhibitor List Pictures

View Fancy Food Show 2021 Exhibitor List Pictures . The summer fancy food show is a good snapshot of what's happening in speciality food in usa. North america's largest specialty food and beverage event comes to new york city annually in the late june / early july connect with 2,400 exhibitors from 50 countries & regions. Fancy Food Show September 2021 from images.neventum.com Its my 5th time visit and this show keeps getting better and better. Exhibitor list food expo 2021. World best show, class and full of exciting product. The summer fancy food show is a good snapshot of what's happening in speciality food in usa. North america's largest specialty food and beverage event comes to new york city annually in the late june / early july connect with 2,400 exhibitors from 50 countries & regions. Additionally, the javits center, where the event is typically held, ...